به نظرم؛ یک تصویر گویاتر از هزار کلمه است. برای داشتن درک واقعی از تأثیر ایمپلنت دندان، بهترین راه مشاهده نتایج و مقایسه قبل و بعد از آن است. در این نمونه کار ایمپلنت دندان، شما عکس قبل و بعد و ویدیو ایمپلنت دندان را خواهید دید تا به شما در تجسم و انتخاب آگاهانه لبخند آینده تان کمک کنیم.
نمونه کار کاشت دو واحد ایمپلنت دندان در فک پایین این بیمار
برای این بیمار عزیزمون که در ادامه عکس و فیلم های کاشت ایمپلنت را مشاهده خواهید کرد، پس از معاینه و تجویز گرافیCBCT ، کاشت ایمپلنت را شروع کردیم. البته برای ایشان در هنگام کاشت از پودر استخوان برای پیوند و استحکام بیشتر ایمپلنت نیز استفاده شده است. همانطور که در ادامه مشاهده خواهید کرد، به یک بی دندانی کامل که می تواند بشدت مشکلات سلامتی بعدی را در پی داشته باشد، خاتمه داده ایم. شما نیز می توانید با کاشت ایمپلنت بجای دندان های از دست رفته تان، علاوه بر بازیابی سلامت دهان و دندان، زیبایی لبخندتان را بهبود ببخشید.
1- ویدیو قبل و بعد ایمپلنت دندان فک پایین
در این ویدیو بصورت خلاصه مراحل کاشت از بی دندانی تا تحویل روکش ایمپلنت را مشاهده می کنید.
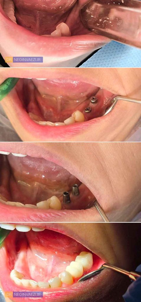
2- عکس قبل و بعد ایمپلنت دندان فک پایین
در اینجا نیز می توانید عکس های بخشی از مراحل کاشت ایمپلنت را مشاهده کنید. مرحله مربوط به بخش جراحی، بدلیل صحنه های حاوی خون و جراحات، درج نمی شود.
بی دندانی
در مرحله بی دندانی، نبود یک یا چند دندان می تواند علاوه بر کاهش زیبایی لبخند، عملکرد جویدن و اعتماد به نفس فرد را تحت تأثیر قرار دهد. بررسی وضعیت اولیه دهان، پایه ای ترین گام برای برنامه ریزی دقیق درمان ایمپلنت و دستیابی به نتیجه ای موفق است.لذا در این مرحله در ابتدا معاینات لازم از جمله بررسی وضعیت لثه ها، ضخامت استخوان و… صورت میگیرد.
کاشت پایه ایمپلنت (فیکسچر) و سپس آنکاور آن
تحت شرایط بی حسی کامل و بدون درد، لثه بیمار کنار زده شده و پس از آماده سازی استخوان، پایه ایمپلنت در محل مناسب قرار داده شده است. پس از طی شدن زمان مناسب و رسیدن به استئواینتگربشن (جوش خوردن پایه ایمپلنت با استخوان فک)، روی پایه ها باز شده و healing abutment با هدف فرم دهی مناسب لثه ها قرار داده میشود.
نکته: در برخی موارد، با صلاحدید دندانپزشک و زمانی که شرایط استخوانی خوب و ایده آل باشد، میتوان مرحله آنکاور را بلافاصله بعد از مرحله کاشت پایه ایمپلنت انجام داد تا نیاز به جراحی ثانویه در زمان آنکاور نباشد.
قالبگیری و نصب اباتمنت
سپس قالبگیری به روش مناسب انجام شده و abutment های اصلی بر روی ایمپلنت ها نصب گردیدند.
اگر ساکن تبریز هستید برای آگاهی از هزینه ها حتما مقاله: [ قیمت ایمپلنت دندان ] را مطالعه کنید.
امتحان و تحویل روکش های نهایی
پس از جلسه ی امتحان روکش ها و انجام اصلاحات جزئی (در صورت نیاز)، روکش ها نصب و تحویل داده شدند.
ایمپلنت های سمت مقابل فک پایین این بیمار نیز در مراحل کاشت می باشد که پس از تکمیل ، تصاویر آن اضافه خواهد شد. اما در حد همین دو ایمپلنت فک پایین نیز می تواند نتیجه واقعی و قابل توجهی رو مشاهده کرد. به تصویر نهایی زیر توجه نمایید.
اگر ساکن تبریز هستید برای آگاهی از هزینه ها حتما مقاله: [ نمونه کار جراحی دندان پوسیده و شکسته ] را مطالعه کنید.
نوبت دکتر ایمپلنت در تبریز - کاشت فوری
اگر ساکن تبریز یا شهرهای اطراف مثل مرند، اسکو، صوفیان، آذرشهر، ایلخجی، خسروشهر، باسمنج، هشترود و غیره هستید و قصد انجام جراحی ایمپلنت دندان … را دارید میتوانید برای نوبت دهی سریع ویزیت دندانپزشکی با مطب دکتر نگین واعظی تماس بگیرید.
📞 برای نوبت دهی سریع دندانپزشکی در تبریز همین حالا با ما تماس بگیرید.
آدرس مطب دندانپزشکی دکتر نگین واعظی:
📍تبریز، ولیعصر، چهار راه شریعتی، جنب بانک سپه، ساختمان آناهیتا، طبقه 3 واحد 7

بدون دیدگاه