فهرست مطالب
پاسخ کوتاه این است که اگر اطراف ایمپلنت دندان خود، درد، التهاب، بوی بد یا ترشح چرکی می بینید، احتمالا دچار عفونت ایمپلنت دندان (Peri-implantitis) شده اید. این شرایط نیازمند درمان فوری است تا از آسیب لثه استخوان و از دست رفتن ایمپلنت تان جلوگیری شود. در این مقاله از وب سایت دکتر نگین واعظی قصد داریم تا شما را با عفونت ایمپلنت، علت ها، عکس عفونت ایمپلنت، درمان و روش های جلوگیری از آن آشنا کنیم تا بتوانید با یک اقدام بموقع سلامت دهان خود را بازیابید. در ادامه با ما همراه باشید.
ایمپلنت دندان چیست و چرا ممکن است عفونت کند؟
ایمپلنت های دندانی یکی از بهترین و طبیعی ترین روشها برای جایگزینی دندان های از دسترفته هستند. اما همانند دندان های طبیعی، اگر مراقبت از آنها بهدرستی انجام نشود، ممکن است دچار عفونت و التهاب اطراف لثه شوند.
این نوع عفونت که با نام پری ایمپلنتایتیس (Peri-implantitis) شناخته میشود، می تواند باعث:
- التهاب و خونریزی لثه شود
- از بین رفتن استخوان فک را در پی داشته باشد.
- باعث درد، بوی بد دهان و حتی شکست کامل ایمپلنت شود.
پری ایمپلنتایتیس چیست؟
پری ایمپلنتایتیس نوعی بیماری لثه در اطراف ایمپلنت دندانی می باشد.
علت ایجاد آن معمولاً یکی از موارد زیر می تواند باشد:
- رعایت نکردن بهداشت دهان و دندان (🪥مثل مسواک نزدن منظم)
- استعمال دخانیات مثل سیگار 🚬
- قند خون یا دیابت کنترل نشده
- ضعف سیستم ایمنی بدن فرد
- مشکلات مکانیکی مانند نامیزان بودن بایت (Bite Misalignment) یا دندان قروچه (Bruxism)
- واکنش آلرژیک (حساسیت) نادر به جنس ایمپلنت (مثلاً تیتانیوم)
در صورت عدم درمان، عفونت به سرعت پیشرفت کرده و موجب تحلیل استخوان و از دست رفتن بافت نگه دارنده ایمپلنت می شود.
از کجا بفهمیم ایمپلنت عفونت کرده؟ (علائم)
تشخیص زود هنگام عفونت کلید نجات ایمپلنت شما خواهد بود. اگر هر یک از نشانه های زیر را دارید، احتمال عفونت آن وجود دارد:
۱. درد یا ناراحتی مداوم
پس از کاشت ایمپلنت، احساس درد خفیف طبیعی است. اما اگر این درد بعد از گذشت چند هفته هنوز ادامه داشته باشد یا شدت بگیرد می تواند نشانه عفونت باشد و حتما باید به دندانپزشک مراجعه شود.
۲. التهاب و تورم لثه اطراف ایمپلنت
اگر لثه در اطراف ایمپلنت، متورم، قرمز یا حساس به لمس شده است، این یکی از اولین نشانه های عفونت خواهد بود.
۳. بوی بد دهان
وجود طعم فلزی، بوی بدن یا مزه تلخ در دهان حتی بعد از مسواک زدن ، می تواند بدلیل تجمع باکتریها و یا عفونت ایمپلنت باشد.
۴. خونریزی یا چرک در اطراف ایمپلنت
مشاهده ترشح سفید یا زرد (چرک)، یا خونریزی مداوم هنگام مسواک زدن و کشیدن نخ دندان، نشانه واضح عفونت باکتریایی می باشد.
۵. شل یا لق شدن ایمپلنت
ایمپلنت دندان سالم باید کاملاً محکم باشد. اگر احساس می کنید ایمپلنت شما شل شده و تکان می خورد یا فشار هنگام جویدن دارید، احتمالاً استخوان اطراف آن درگیر عفونت شده است.
۶. تب خفیف یا احساس خستگی
در برخی موارد، بدن به عفونت واکنش عمومی نشان می دهد و ممکن است دچار تب خفیف، کسالت یا بی حالی شوید.
۷. مشاهده رزوه های فلزی یا بیرون زدگی از لثه
اگر رزوه (پیچ فلزی) ایمپلنت از لثه بیرون زده باشد (مانند عکس زیر)، یعنی استخوان اطراف تحلیل رفته و عفونت پیشرفت کرده است.
آیا عفونت ایمپلنت خود به خود خوب می شود؟
❌ پاسخ قاطع : خیر است .
عفونت ایمپلنت هرگز بدون درمان برطرف نمی شود. در صورت بی توجهی، عفونت پیشرفت کرده و باعث تحلیل استخوان، آسیب به لثه و شکست کامل ایمپلنت میشود. درمان زود هنگام می تواند از هزینه ها و جراحی های بعدی جلوگیری کند.
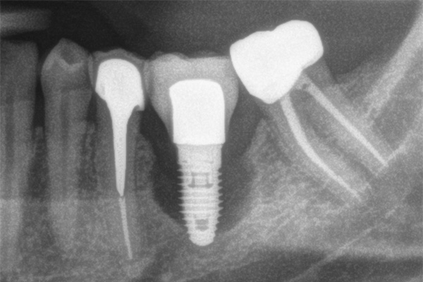
روشهای تشخیص عفونت ایمپلنت
دندانپزشک با استفاده از معاینه بالینی و عکس رادیوگرافی (X-Ray) می تواند وجود عفونت یا تحلیل استخوان را تشخیص دهد.
گاهی برای تشخیص دقیق تر، ممکن است از اسکن سهبعدی (CBCT) نیز استفاده شود تا میزان آسیب به بافت و استخوان مشخص شود.
درمان عفونت ایمپلنت دندانی
روش درمان بستگی به شدت عفونت ایمپلنت دارد، اما معمولاً شامل چند مرحله زیر می باشد:
۱. دهانشویه و آنتی بیوتیک
در موارد خفیف، استفاده از دهانشویه ضدباکتری (مانند کلرهگزیدین) و آنتیبیوتیک خوراکی برای کنترل باکتری ها تجویز می شود. نوع آنتی بیوتیک را پزشک تعیین می کند و نباید بصورت خودسرانه اقدام به مصرف هرگونه آنتی بیوتیک کرد!
۲. پاک سازی مکانیکی
دندانپزشک با ابزارهای مخصوص سطح ایمپلنت را از پلاک و جرم پاک میکند تا محیط رشد باکتری از بین برود.
۳. جراحی برای بازسازی مجدد
اگر عفونت باعث تحلیل استخوان شده باشد، ممکن است نیاز به جراحی پیوند استخوان برای ایمپلنت یا جراحی بافت لثه باشد تا پایه ایمپلنت دوباره تقویت شود.
اهمیت اقدام زود هنگام در درمان عفونت ایمپلنت
اگر عفونت به موقع درمان نشود، ممکن است باعث از بین رفتن کامل ایمپلنت شما شود و حتی بر سلامت عمومی بدنتان اثرگذار باشد.در موارد شدید، عفونت دهان میتواند به جریان خون وارد شده و به قلب، کلیه یا سایر اندامها آسیب برساند.
هدف دندانپزشک در این مرحله توقف سریع پیشرفت عفونت و بازگرداندن سلامت لثه و استخوان اطراف ایمپلنت است. هرچه زودتر اقدام کنید، احتمال موفقیت درمان بیشتر است.
پیشگیری از عفونت ایمپلنت دندان
پیشگیری همیشه بهتر از درمان است. برای جلوگیری از بروز یا بازگشت عفونت ایمپلنت، رعایت نکات زیر بسیار ضروری است:
- مسواک زدن منظم و نخ دندان روزانه
- استفاده از دهانشویه آنتیباکتریال در صورت تشخیص دندانپزشک
- ترک سیگار و پرهیز از الکل زیاد
- کنترل قند خون در افراد دیابتی
- انجام جرم گیری و چکاپ منظم
- رعایت کامل دستورات دندانپزشک پس از جراحی
✅ با رعایت این توصیه ها، احتمال عفونت ایمپلنت به حداقل می رسد و طول عمر آن تا سال ها حفظ خواهد شد.
📌 پیشنهاد برای مطالعه بیشتر: [ ایمپلنت دندان چقدر عمر میکند؟ ]رازهای ماندگاری و مراقبت از ایمپلنت را حتما بخوانید.
بیماری لثه، دیابت و تأثیر آن بر ایمپلنت
- بیماری های لثه (مانند ژنژیویت یا پریودنتیت) می توانند بافت نگه دارنده ایمپلنت را تضعیف کنند.
- دیابت کنترل نشده سرعت ترمیم را کاهش داده و خطر عفونت را چندبرابر میکند.
بنابراین اگر دیابت دارید، حفظ قند خون در محدوده طبیعی و رعایت بهداشت دهان برای سلامت ایمپلنت حیاتی است.
نقش عکس عفونت ایمپلنت در تشخیص
گاهی دندانپزشک برای بررسی دقیق تر از عکس رادیوگرافی یا سی تی اسکن فک CBCT استفاده می کند تا میزان تحلیل استخوان و موقعیت ایمپلنت مشخص شود. این تصاویر به شناسایی زودهنگام عفونت و جلوگیری از آسیب بیشتر کمک می کند.
نکات مراقبتی پس از درمان عفونت ایمپلنت
برای بهبود سریع و جلوگیری از بازگشت مجدد عفونت:
- از خوردن غذاهای سفت و چسبناک پرهیز کنید.
- دهان خود را با آب نمک گرم یا دهانشویه ضدباکتری بشویید.
- تمام داروهای تجویز شده را به موقع مصرف کنید.
- معاینات پیگیری را طبق برنامه انجام دهید تا روند ترمیم و بهبودی بررسی شود.
جمع بندی
عفونت ایمپلنت دندان یک مشکل جدی اما قابل درمان است.تشخیص به موقع علائم، مراجعه سریع به دندانپزشک و رعایت بهداشت دهان مهمترین عوامل در نجات ایمپلنت هستند.
اگر میخواهید از بروز چنین عارضهای جلوگیری کنید، مراقبت منظم، چکاپ دورهای و پرهیز از سیگار بهترین راهکارها هستند. لبخند شما سرمایه شماست. با مراقبت درست، ایمپلنت دندان می تواند تا سال ها همانند دندان طبیعی زیبا و سالم باقی بماند.
💰 اگر ساکن تبریز یا شهرهای اطراف هستید برای آگاهی از هزینه های کاشت ایمپلنت [ قیمت ایمپلنت دندان در تبریز ] را حتما بخوانید.
❓پاسخ کوتاه به سوالات متداول
۱. از کجا بفهمیم ایمپلنت دندان عفونت کرده است؟
اگر متوجه شدید اطراف ایمپلنت قرمز، متورم، دردناک یا همراه با ترشح چرک است و هنگام مسواک یا نخ دندان خونریزی می کند، احتمال عفونت وجود دارد.
۲. آیا عفونت ایمپلنت دندان به خودی خود خوب می شود؟
نخیر. عفونت ایمپلنت بدون درمان توسط دندانپزشک برطرف نمی شود و حتی می تواند باعث تحلیل استخوان و از دست رفتن ایمپلنت شما شود.
۳. برای جلوگیری از عفونت ایمپلنت چه باید کرد؟
رعایت بهداشت دهان، استفاده از دهانشویه آنتی باکتریال، ترک سیگار و مراجعه منظم به دندانپزشک مهمترین راه های پیشگیری هستند.
۴. در صورت بروز عفونت ایمپلنت چه باید کرد؟
در صورت مشاهده علائم عفونت ایمپلنت ، باید فوراً به دندانپزشک مراجعه نمایید. معمولاً با آنتی بیوتیک و گاهی جراحی لثه و پیوند استخوان درمان می شود.
۵. آیا ایمپلنت عفونی قابل نجات است؟
در مراحل اولیه بله، با درمان مناسب میتوان ایمپلنت را حفظ کرد. اما در موارد پیشرفته ممکن است نیاز به خارج کردن و جایگزینی ایمپلنت باشد.
کاشت ایمپلنت در تبریز با نوبت دهی سریع
یکی از خدمات ارائه شده در مطب دکتر نگین واعظی در ولیعصر تبریز، ایمپلنت دندانی می باشد. برای کاشت ایمپلنت با بهترین قیمت و نوبت دهی سریع کافیست با ما تماس بگیرید.
📞 برای نوبت دهی سریع دندانپزشکی در تبریز همین حالا با ما تماس بگیرید.
آدرس مطب دندانپزشکی دکتر نگین واعظی:
📍تبریز، ولیعصر، چهار راه شریعتی، جنب بانک سپه، ساختمان آناهیتا، طبقه 3 واحد 7


بدون دیدگاه