فهرست مطالب
قیمت بلیچینگ دندان در تبریز در سال 1405 به دلایل مختلف از جمله برند مورد استفاده، تجربه دندانپزشک،موقعیت مطب و حتی وضعیت دندان های شما، قیمت های بسیار متنوعی دارد.لذا برای اطلاع از جزییات هزینه بلیچینگ در تبریز در ادامه با دکتر نگین واعظی همراه باشید.
در دنیای امروز که لبخند زیبا نقش کلیدی در اولین برداشت ها دارد، سفید بودن دندان ها چیزی فراتر از فقط زیبایی است. سفید کردن دندان ها یا همان «بلیچینگ دندان»، یکی از سریع ترین و ایمن ترین روش ها برای بهبود ظاهر لبخند است که توسط دندانپزشکان در سراسر دنیا تأیید شده است.
برخلاف روش های خانگی یا تبلیغات غیر واقعی موجود در فضای مجازی، بلیچینگ حرفه ای زیر نظر دندانپزشک میتواند تا چند درجه رنگ دندانها را روشنتر کند. اما یکی از سوالات اصلی بیماران در مطب ما و در شهر تبریز این است: قیمت بلیچینگ در تبریز چقدر است و آیا واقعاً ارزشش را دارد؟
قیمت بلیچینگ دندان در تبریز در سال 1405
قیمت بلیچینگ دندان در تبریز ، به موارد زیادی از جمله نوع و کیفیت ماده مورد استفاده، تجربه و تخصص دندانپزشک، موقعیت جغرافیایی مطب، وضعیت دندان ها شما و تعداد جلسات مورد نیاز بستگی دارد.هزینه بلیچینگ در مطب ما در ولیعصر تبریز در سال 1405 به قرار جدول زیر می باشد. در حال حاضر بلیچینگ در مطب ما با قیمت ویژه و تخفیف استثنایی ارائه می شود و یک فرصت بی نظیر می باشد.
| ردیف | عنوان خدمت | حدود قیمت |
|---|---|---|
| 1 | بلیچینگ دو فک | با تخفیف ویژه : 11,000,000 تومان |
| 2 | بلیچینگ یک فک | 6,500,000 تومان |
💡 تخفیف فوق به مدت محدود می باشد.لذا می توانید از این فرصت ویژه استفاده کنید. در مطب ما در تبریز، برای سفید کردن دندان ها از مواد بلیچینگ درجه یک استفاده می شود.
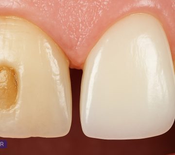
برای مشاهده نمونه بلیچینگ انجام شده در تبریز می توانید نمونه کار قبل و بعد از بلیچینگ؛ لبخند روشن تر – اعتماد بنفس بیشتر را مشاهده کنید.
سوالات متداول
آیا بلیچینگ به دندان ها آسیب میزند؟
خیر، در صورتی که زیر نظر دندانپزشک و با مواد استاندارد انجام شود، بلیچینگ یکی از بیخطرترین روش های زیبایی دندان است.
آیا بلیچینگ روی روکش یا کامپوزیت هم اثر دارد؟
خیر، بلیچینگ فقط روی دندان های طبیعی مؤثر است. روکشها، لمینت ها و کامپوزیت ها سفید نمی شوند.
هزینه بلیچینگ در تبریز چقدر است؟
هزینه بلیچینگ در تبریز می توانید از 10 تا بالای 15 میلیون تومان بسته به کیفیت مواد مورد استفاده، تجربه و تخصص پزشک، موقعیت جغرافیایی مطب متفاوت باشد. این مبلغ در مطب دکتر نگین واعظی در تبریز ، با بهترین قیمت یعنی 13 میلیون تومان ارائه می شود که در حال حاضر با قیمت و تخفیف ویژه فقط 11,000,000 تومان می باشد.
چند وقت یک بار میتوان بلیچینگ انجام داد؟
در صورت نیاز و تحت نظر دندانپزشک، معمولاً سالی یک بار یا نهایتاً هر 18 ماه یک بار توصیه میشود.
تفاوت بلیچینگ در خانه و در مطب چیست؟
بلیچینگ در مطب سریعتر و مؤثرتر است. در حالیکه بلیچینگ خانگی ممکن است نیاز به چند هفته استفاده منظم داشته باشد.
بلیچینگ چقدر ماندگاری دارد؟
اگر بهداشت دهان را رعایت کنید و مصرف خوراکی های رنگزا و قهوه و چای را را محدود کنید، ماندگاری بلیچینگ میتواند تا 1 یا 2 سال باشد.
آیا بلیچینگ درد دارد؟
احساس حساسیت موقت در دندان ها طبیعی است ولی درد خاصی ندارد. این حساسیت اغلب پس از 24 تا 48 ساعت برطرف میشود.
دکتر خوب برای بلیچینگ در تبریز کدام است؟
برای بلیچینگ دندان در تبریز با بهترین کیفیت و قیمت می توانید به مطب دکتر نگین واعظی در ولیعصر مراجعه نمایید.
بلیچینگ دندان در تبریز – وقتشه بدرخشی!
اگر به دنبال یک تجربه حرفه ای، بیخطر و مؤثر برای سفید کردن دندان هایتان هستید، همین حالا با ما تماس بگیرید. بلیچینگ دندان در تبریز در مطب ما واقع در ولیعصر با مواد درجه یک و با کیفیت انجام می شود.
برای دریافت نوبت سریع و مشاوره بلیچینگ در ولیعصر تبریز با ما تماس بگیرید.
📍 آدرس مطب: تبریز، ولیعصر، چهارراه شریعتی، جنب بانک سپه، ساختمان آناهیتا، طبقه ۳، واحد ۷
📞 تلفن / واتساپ / تلگرام: 33316412-041


بدون دیدگاه