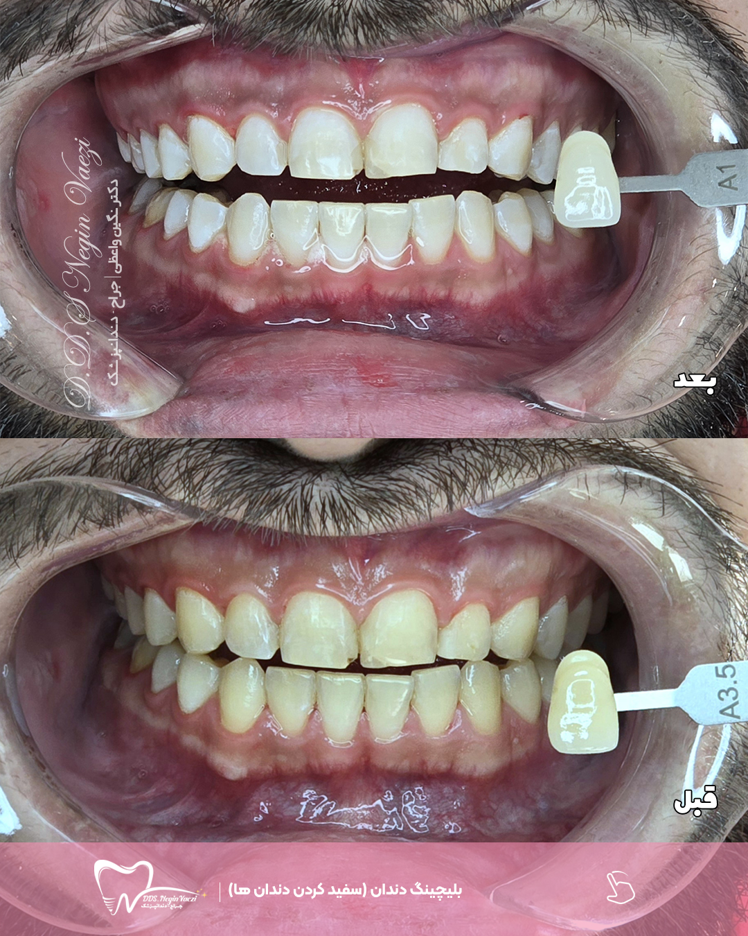
بلیچینگ دندان در تبریز یکی از سریع ترین و مؤثرترین روش‌ها برای داشتن لبخندی سفیدتر و درخشان‌تر است که به طور مستقیم بر اعتمادبه‌نفس شما تأثیر می‌گذارد. در این نمونه کار واقعی قبل و بعد از بلیچینگ، تغییر رنگ ناشی از مصرف چای، قهوه و عوامل غذایی طی یک جلسه درمانی با مواد با کیفیت برطرف شد. نتیجه، دندان‌هایی روشن‌تر، ظاهری زیباتر و حس رضایت بالای بیمار بود. این نمونه کار در مطب دکتر نگین واعظی در ولیعصر تبریز انجام شده است.

قبل و بعد از بلیچینگ دندانی؛ تفاوت را احساس کنید

گاهی فقط یک تغییر کوچیک، می‌تونه لبخند شما رو متحول کنه. در این نمونه کار انجام شده در مطب دکتر نگین واعظی، با انجام بلیچینگ (سفید کردن دندان‌ ها)، شاهد روشن‌ تر شدن رنگ دندان‌ ها در یک جلسه بودیم؛ بدون آسیب به مینای دندان و کاملاً ایمن و تخصصی و البته با مواد با کیفیت.

✅ درمان بدون درد
✅ حفظ بافت طبیعی دندان‌ها
✅ افزایش اعتماد به‌نفس با لبخندی درخشان‌تر

نتیجه: تنها در یک جلسه، دندان‌ ها چند درجه روشن‌ تر شدند و لبخند بیمار جلوه‌ ای طبیعی و زیبا پیدا کرد.
🕒 مدت زمان درمان: حدود ۴۵ دقیقه تا ۱ ساعت
⚠️ توصیه پس از درمان: پرهیز از مصرف مواد رنگی مانند چای، قهوه و سیگار تا ۴۸ ساعت بعد از بلیچینگ برای حفظ نتیجه بهتر.

اگر شما هم به دنبال لبخندی درخشان هستید، مشاوره بگیرید و از نتایج شگفت‌ انگیز بلیچینگ بهره‌مند شوید!

حتما بخوانید : بلیچینگ دندان در تبریز – بلیچینگ چیست و نکاتی که باید بدانید

بلیچینگ دندان، یک روش حرفه‌ ای برای از بین بردن رنگ‌ های زرد و لکه‌ های سطحی ایجاد شده بر اثر مصرف نوشیدنی‌ های رنگی مثل چای، قهوه یا استعمال دخانیاته. این درمان بیشتر بر روی رنگ‌ های خارجی مینای دندان تأثیر می‌ گذارد و باعث روشن‌تر شدن کلی دندان ها و بهبود لبخند میشود. البته باید بدونیم که بلیچینگ دندان برای تغییر رنگ‌ های شدیدتر یا ذاتی دندان (مثل تغییر رنگ‌ های ناشی از داروها یا مشکلات ساختاری و پوسیدگی) مناسب نیست و ممکنه نیاز به درمان‌ های جایگزین مثل لمینت یا ونیر کامپوزیت و حتی روکش دندانی باشه.

نمونه کار بلیچینگ دندان در تبریز   بهترین دکتر بلیچینگ در تبریز   بلیچینگ با تخفیف در تبریز   بلیچینگ ارزان در تبریز   بلیچینگ آمریکایی در تبریز قبل و بعد بلیچینگ دندان در تبریز
برای مشاهده در اندازه واقعی بر روی تصویر بالا کلیک کنید.

برای آگاهی از قیمت بلیچینگ دندان در تبریز حتما مقاله  قیمت بلیچینگ دندان در تبریز را مطالعه نمایید.

آیا بلیچینگ دندان به مینای دندان آسیب می‌زند؟

خیر، در صورت انجام توسط دندانپزشک متخصص و با مواد استاندارد، آسیبی به مینای دندان وارد نمی‌شود.

ماندگاری بلیچینگ معمولاً بین ۶ ماه تا ۲ سال است و به عادات غذایی و بهداشت دهان بستگی دارد.

در مطب دکتر نگین واعظی واقع در ولیعصر تبریز، بلیچینگ با بهترین مواد مانند وایت اسمایل آلمانی و با بهترین قیمت انجام میگیرد. برای مشاوره و ویزیت کافیست تماس بگیرید.

بلیچینگ دندان در تبریز (سفید کردن دندان ها)

بلیچینگ دندان (سفید کردن دندان ها) و جرم گیری یکی از خدمات ارائه شده توسط دکتر نگین واعظی جراح و دندانپزشک می باشد. جهت مشاوره می توانید به کلینیک مراجعه نمایید. برای آگاهی از قیمت ترمیم کامپوزیت دندان ، ونیر و لمینت دندان ، درمان ریشه ، بلیچینگ ،جرم گیری، جراحی ، ایمپلنت ، اطفال و …  می توانید به آدرس کلینیک مراجعه نمایید.

📞 برای نوبت دهی سریع دندانپزشکی در تبریز همین حالا با ما تماس بگیرید.

 آدرس مطب دندانپزشکی دکتر نگین واعظی:

📍تبریز، ولیعصر، چهار راه شریعتی، جنب بانک سپه، ساختمان آناهیتا، طبقه 3 واحد 7

اطلاعات تماس:

📞 تلفن تماس مطب : 33316412-041

📲 واتساپ/تلگرام/روبیکا  :  [09149617890]

پیج اینستاگرام دکتر نگین واعظی

مشاهده پیج

بدون دیدگاه

دیدگاهتان را بنویسید

نشانی ایمیل شما منتشر نخواهد شد. بخش‌های موردنیاز علامت‌گذاری شده‌اند *