فهرست مطالب
مشکلات شایع دندانی یکی از دلایل اصلی مراجعه افراد به دندانپزشک در تبریز و سایر شهرهاست. از دندان درد و پوسیدگی گرفته تا بیماری های لثه، دندان عقل نهفته و نیمه نهفته، حساسیت به سرما و حتی کجی، شکستگی و نامرتبی دندانها، همگی میتوانند بر سلامت دهان و زیبایی لبخند تأثیر بگذارند. شناخت این مشکلات و روشهای درمان آنها کمک میکند تا پیشگیری مؤثرتری داشته باشید و در صورت بروز مشکل، سریعتر برای درمان اقدام کنید. در این مقاله ۱۵ مورد از مهمترین مشکلات دندانی را همراه با علت، علائم و راهکارهای درمان مرور میکنیم.این مقاله برگردان از وبسایت Webmed می باشد.
۱. دندان درد
وقتی نوبت دندانپزشکی دارید ولی هنوز زمانش نرسیده است! درد دندان میتواند آزاردهنده باشد. در این فاصله میتوانید دهانتان را با آب گرم بشویید، با نخ دندان ذرات گیر کرده بین دندانها را خارج کنید و از مسکنهای بدون نسخه استفاده کنید. اگر متوجه تورم، چرک اطراف دندان یا تب شدید، احتمال وجود آبسه دندانی است که مشکل جدی تری محسوب میشود. در این شرایط باید در اولین فرصت به دندانپزشک مراجعه کنید. درمان ممکن است شامل مصرف آنتیبیوتیک و سایر اقدامات دندانپزشکی باشد.
📌 پیشنهاد برای مطالعه بیشتر: [ درمان فوری دندان درد با درمان های خانگی ]
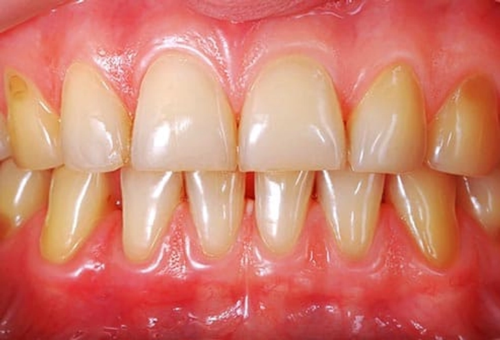
۲. تغییر رنگ دندانها
دندانها درست مثل لباس میتوانند لک بگیرند. غذاها،نوشیدنی ها، داروها، دخانیات و حتی ضربه میتوانند باعث تغییر رنگ شوند. چهار راه اصلی برای سفید کردن دندانها وجود دارد:
- سفید کردن در مطب با مواد بلیچینگ و نور مخصوص
- بلیچینگ خانگی با تری پلاستیکی و ژل مخصوص که از دندانپزشک یا داروخانه تهیه میشود
- خمیردندان و دهانشویه سفیدکننده که تنها لکههای سطحی را برطرف میکنند.
- جرم گیری دندان ها
📌 پیشنهاد برای مطالعه بیشتر درباره سفید کردن دندانها: [ بلیچینگ دندان در تبریز ]
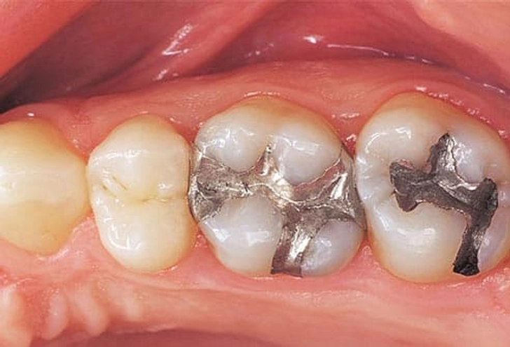
۳. پوسیدگی دندان (Cavities)
این حفره های کوچک و پوسیدگی ها در دندان خبر خوبی نیستند. زمانی ایجاد میشوند که باکتری چسبندهای به نام پلاک (Plaque) روی دندان تجمع کرده و به تدریج مینای دندان را تخریب میکند. پوسیدگی میتواند در خط لثه یا اطراف ترمیمهای قبلی هم رخ دهد.
راهکار پیشگیری:
- مسواک حداقل دو بار در روز با خمیردندان حاوی فلوراید
- محدود کردن میانوعدهها
- نخ دندان روزانه
- دهانشویه فلوراید
- مراجعه منظم به دندانپزشک
از دندانپزشک بپرسید آیا فیشور سیلانت (Sealant) برای شما مفید است یا خیر.
راهکارهای درمان:
- ترمیم با کامپوزیت یا آمالگام
- روکش های دندانی pfm یا زیرکونیا
- در صورت نیاز انجام درمان ریشه
- لمینیت های تمام سرامیکی
📌 پیشنهاد برای مطالعه بیشتر درباره پوسیدگی دندانی: [ پوسیدگی دندان یا کرم خوردگی چیست علت، علائم و روش های درمان ]
۴. لب پر شدن دندان
شایعترین آسیب دندانی، لب پر شدن دندان است که میتواند بر اثر حادثه یا حتی خوردن پاپ کورن ایجاد شود(برای من که تا حالا اتفاق افتاده😁). اگر بخش شکسته بزرگ باشد، دندانپزشک ممکن است روکش پیشنهاد دهد. در موارد کوچکتر از ترمیم با کامپوزیت (Bonding) استفاده میشود. اگر پالپ دندان در معرض آسیب باشد، درمان ریشه (عصبکشی) و سپس روکش یا ونیر لازم خواهد بود.
۵. دندان نهفته (Impacted Teeth)
دندانهای دائمی که درست رویش نمیکنند «نهفته» نام دارند. این حالت معمولاً وقتی رخ میدهد که دندان به دندان کناری، استخوان یا بافت نرم گیر کرده باشد. اگر مشکلی ایجاد نکند، ممکن است دندانپزشک توصیه کند همانطور باقی بماند. اما در صورت درد یا احتمال بروز مشکل، دندان توسط جراح فک و صورت خارج میشود.
📌 پیشنهاد برای مطالعه بیشتر درباره دندان های عقل نهفته: [ جراحی دندان عقل نهفته در تبریز علائم، روش های تشخیص و درمان]
۶. ترک خوردگی دندان
ترک ممکن است در اثر بازی ورزشی بدون محافظ، یا حتی جویدن ایجاد شود.
- در بیشتر موارد روکش توصیه میشود تا از گسترش ترک جلوگیری شود.
- اگر دندان به گرما و سرما حساس باشد، مشکل پیچیدهتر است و ممکن است نیاز به عصب کشی و روکش باشد.
- ترک عمیقتر معمولاً منجر به کشیدن دندان میشود.
- پرکردگیهای بزرگ احتمال ترک را افزایش میدهند.
۷. حساسیت به سرما
اگر بستنی یا نوشیدنی سرد باعث درد ناگهانی میشود، علت میتواند پوسیدگی، ساییدگی مینای دندان، بیماری لثه، ترک یا ریشههای در معرض هوا باشد. درمان بر اساس علت متفاوت است: پرکردن، عصبکشی، درمان لثه یا حتی استفاده از خمیر دندان ضد حساسیت و ژل فلوراید.
۸. تعداد زیاد دندانها (Hyperdontia)
بهطور معمول هر فرد ۲۰ دندان شیری و ۳۲ دندان دائمی دارد. اما برخی افراد دندان اضافی دارند که به آن هایپردانتیا میگویند. این وضعیت گاهی همراه با مشکلاتی مانند شکاف کام یا سندرم گاردنر است. درمان شامل کشیدن دندانهای اضافی و درمان ارتودنسی برای اصلاح بایت است.
۹. دندانهای کج و نامرتب
ارتودنسی تنها برای کودکان نیست. مرتب کردن دندانها علاوه بر زیبایی لبخند، میتواند به بهبود سلامت دهان، رفع درد فک و بهبود عملکرد جویدن کمک کند. دندانپزشکان از براکتهای فلزی یا شفاف، الاینرها و نگهدارندهها استفاده میکنند.
۱۰. فاصله بین دندانها (گپ یا دیاستم بین دندانها)
برخی افراد فاصله بین دندانهای جلویی خود را دوست دارند، اما اگر بخواهید آن را اصلاح کنید، گزینهها شامل ارتودنسی، کامپوزیت ونیر یا لمینیت است.
📌 پیشنهاد برای مطالعه بیشتر فاصله بین دندان ها: [ همه چیز درباره فاصله بین دندانی علت، علائم و روش های درمان دیاستم]
۱۱. مشکلات لثه
اگر لثههایتان به راحتی خونریزی میکنند، حساس هستند یا عقبنشینی کردهاند، احتمال بیماری لثه (Gingivitis) وجود دارد. پلاک زیر خط لثه عامل اصلی است. اگر درمان نشود میتواند منجر به از دست رفتن استخوان، لق شدن دندانها و مشکلات گفتاری یا جویدن شود. پیشگیری شامل مسواک، نخ دندان، دهانشویه آنتیسپتیک و جرمگیری منظم است.
📌 پیشنهاد برای مطالعه بیشتر درباره جرم گیری و تعرفه آن: [ قیمت جرم گیری دندان در تبریز ]
۱۲. دندانقروچه (Bruxism)
فشار دادن یا ساییدن دندانها ممکن است ناشی از استرس، ناهماهنگی دندانها یا مشکلات خواب باشد. علائم شامل سردرد، درد فک و ترک دندان است. درمان شامل استفاده از محافظ شب (Night Guard)، کاهش استرس با ورزش یا مدیتیشن و در کودکان بررسی آلرژی است.
📌 پیشنهاد برای مطالعه بیشتر درباره دندان قروچه : [ براکسیسم یا دندان قروچه چیست؟ علت، علائم، درمان و پیشگیری ]
۱۳. مشکلات دندان عقل
بیشتر افراد (۹۰٪) حداقل یک دندان عقل نهفته دارند. این دندانها میتوانند باعث پوسیدگی، آسیب به دندانهای کناری و بیماری لثه شوند. رویش دندان عقل معمولاً بین ۱۷ تا ۲۵ سالگی رخ میدهد. دندانپزشک باید روند رشد را پیگیری کند و در صورت مشکل، دندان کشیده میشود.
📌 پیشنهاد برای مطالعه بیشتر درباره تعرفه ها و هزینه های کشیدن : [ هزینه کشیدن دندان عقل در تبریز ]
۱۴. نبود فضای کافی برای نخ دندان
حتی اگر فاصله بین دندانها بسیار کم باشد، باز هم باید امکان استفاده از نخ دندان وجود داشته باشد. در غیر این صورت، نخ دندان نازکتر یا مومی، و یا ابزارهایی مثل فلاس لوپ یا پیک دندانی توصیه میشوند. مهم این است که هر روز از نخ دندان استفاده کنید.
۱۵. مشکلات ناشی از گریل (Grills)
استفاده از کاور فلزی تزئینی (گریل) با چسب نامناسب یا فلز بیکیفیت میتواند باعث آسیب لثه و دندان شود. همیشه قبل از غذا آن را بردارید و گریل و دندانها را تمیز نگه دارید.
وقتشه لبخند سالم تری داشته باشید!
اگر شما هم با یکی از مشکلات شایع دندانی مانند پوسیدگی، دندان عقل نهفته، دندان ها زرد و تغییر رنگ یافته و غیره روبهرو هستید، بهترین کار مراجعه به یک دندانپزشک در تبریز است. در تبریز در مطب دکتر نگین واعظی میتوانید از خدمات دندانپزشکی شامل معاینه، درمان ریشه، ترمیم، جراحی، ایمپلنتو زیبایی بهرهمند شوید.
📞 برای نوبت دهی سریع دندانپزشکی در تبریز همین حالا با ما تماس بگیرید.
آدرس مطب دندانپزشکی دکتر نگین واعظی:
📍تبریز، ولیعصر، چهار راه شریعتی، جنب بانک سپه، ساختمان آناهیتا، طبقه 3 واحد 7


بدون دیدگاه