امروزه در حوزه ی درمان های دندانپزشکی، و به خصوص درمان های پروتزی، اصطلاحاتی از جمله روکش یا بریج های تمام سرامیکی، روکش های زیرکونیا، ای مکس و… بسیار رایج شده اند. اگر شما نیز نیاز به انجام درمان روکش دندانی دارید اما درباره انواع آن، طول عمر، نحوه مراقبت و… تردید دارید، در ادامه ی این مطلب با ما همراه باشید تا شما را با هر آن چه نیاز دارید در رابطه با روکش های دندانی بدانید، آشنا کنیم. کلیه خدمات روکش دندان در تبریز توسط دکتر نگین واعظی جراح و دندانپزشک در تبریز انجام می پذیرد.

کاربرد روکش های دندانی
از روکش دندانی معمولا زمانی استفاده می شود که میزان تخریب تاج دندان نسبتا زیاد بوده و قسمت باقی مانده از دندان، با انجام ترمیم های معمول، استحکام کافی نخواهد داشت. مانند مواردی که دیواره های باقی مانده ی دندان نازک هستند و احتمال شکستن آن ها وجود دارد. بنابراین زمانی که قسمت زیادی از دندان به هر دلیلی از جمله پوسیدگی، شکستگی و… از دست رفته باشد، درمان روکش دندانی توصیه می شود.

بریج دندانی چیست؟
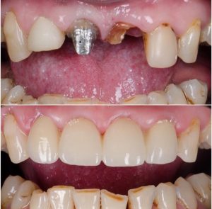
زمانی که برای جایگزینی “یک دندان از دست رفته” تصمیم بر استفاده از روکش دندانی گرفته شود، باید از دو دندان مجاور ناحیه دندان کشیده به عنوان پایه استفاده کرد. در واقع در این حالت برای جایگزینی دندان کشیده شده، روکشی ساخته می شود که از دو طرف به روکش های دندان های پایه متصل است. به این حالت بریج (پل) دندانی گفته می شود.

در استفاده از روش بریج دندانی برای جایگزین کردن دندان ها، نیاز به تراش خوردن و بعضا درمان ریشه ی دندان های پایه وجود دارد لذا جهت جلوگیری از آسیب به این دندان ها و کوتاه شدن عمر آن ها، درمان جایگزین ایمپلنت دندانی توصیه می گردد.

تصویر 2 دندان های پایه تراش خورده را نشان می دهد.
تفاوت روکش با لمینیت دندانی چیست؟
در درمان روکش دندانی، دندان به طور کامل و دور تا دور پوشش داده می شود در صورتی که لمینیت های دندانی فقط سطح بیرونی دندان را می پوشانند. در نتیجه برای روکش دندانی، دندان باید به صورت دور تا دوری و از تمام سطوح مورد تراش قرار گیرد اما در لمینیت های دندانی، یک تراش جزئی بر روی سطح بیرونی دندان انجام می شود. لازم به ذکر است که درمان لمینیت سرامیکی اغلب در مواردی قابل انجام است که تخریب شدیدی در تاج دندان صورت نگرفته باشد.
این مطلب را نیز بخوانید : لمینیت دندان چیست؟ معرفی کامل، مراحل، مزایا و مراقبت های بعد از آن

روکش دندانی

لمینت سرامیکی
انواع روکش دندانی
در گذشته اغلب روکش های ساخته شده از جنس فلز و سرامیک بودند. روکش های فلزی- سرامیکی یا اصطلاحا متال-سرامیک، به این صورت هستند که لایه داخلی روکش، یک آستر فلزی است و روی آن با سرامیک پوشانده شده است. یعنی لایه بیرونی روکش که در دهان دیده می شود از جنس سرامیک (پرسلن) می باشد.

روکش متال سرامیک

بریج متال سرامیک
روکش های پی اف ام (PFM) با این که استحکام خوبی را فراهم می کنند، اما معمولا به دلیل باقی ماندن یک نوار ظریف فلزی در لبه ی روکش و تیره و کدر شدن رنگ به خصوص در لبه ی نزدیک لثه، از زیبایی بالایی برخوردار نیستند.

در سال های اخیر با توجه به بهبود خواص مکانیکی سرامیک ها و افزایش استحکام و مقاومت آن ها، روکش های تمام سرامیکی در دندانپزشکی معرفی شده اند که علاوه بر استحکام از زیبایی بسیار زیادی برخوردار هستند. به این روکش ها فول سرامیک نیز گفته می شود. روکش های زیرکونیا، ای مکس و… همه از انواع روکش های تمام سرامیک هستند و تفاوت آن ها فقط در جنس و ترکیبات سرامیک آن هاست.

روکش تمام سرامیک

بریج تمام سرامیکی

روکش های تمام سرامیکی، فاقد لایه ی فلزی داخلی می باشند.
امروزه روکش های تمام سرامیک دندان (زیرکونیا) به علت عدم استفاده از فلز داخلی، ظاهر طبیعی و هرچه شبیه تر به دندان واقعی، به پرکاربردترین انواع روکش های دندانی جهت زیبایی بیشتر دندان ها تبدیل شده اند.

طول عمر و دوام روکش های دندانی
روکش های دندانی نیز (چه تمام سرامیک و چه متال سرامیک) مانند دیگر روش ها و درمان های دندانپزشکی زیبایی، طول عمری وابسته به نحوه ی استفاده، مراقبت و رعایت بهداشت دهان و دندان ها دارند. اگر روکش به درستی توسط دندانپزشک نصب شده باشد، احتمال جدا شدن و خرابی روکش بسیار کم می باشد به شرطی که بهداشت دندان ها به طور دقیق و کامل (مسواک زدن حداقل روزانه 2 بار و استفاده از نخ دندان) رعایت شود. توجه داشته باشید که احتمال پوسیدگی برای دندان های زیر روکش نیز به همان اندازه ی دندان های بدون روکش وجود دارد، بنابراین با اهمیت دادن به بهداشت دهان و دندان ها، می توانید طول عمر روکش های خود را افزایش دهید. در صورت مراقبت صحیح و نصب صحیح روکش ها، انتظار می رود سالیان سال برای شما کار کنند.
ارائه خدمات روکش دندان در تبریز
انواع درمان های روکش های متال سرامیک (اصطلاحا PFM)، روکش های تمام سرامیکی زیرکونیا و همچنین بریج های دندانی فلزی سرامیکی توسط دکتر نگین واعظی در شهر تبریز ارائه می شوند.

بدون دیدگاه