می خواهم لبخند زیباتری داشته باشم، لمینیت برایم بهتر است یا بلیچینگ؟ ونیر کامپوزیت بهتر است یا ونیر سرامیکی؟ آیا این درمان ها به دندان هایم آسیب می زنند؟ آیا لمینیت و کامپوزیت بدون آسیب و تراش دندان ها ممکن است؟ اگر شما نیز به دنبال درمان های زیبایی هستید اما در رابطه با انواع آن ها دچار تردید هستید، تا آخر مقاله با دکتر نگین واعظی جراح و دندانپزشک در تبریز همراه باشید.

سوالاتی از قبیل موارد مطرح شده، تقریبا برای تمام افرادی که به دنبال درمان های دندانپزشکی زیبایی می باشند مطرح است. امروزه درمان های دندانپزشکی زیبایی قسمت اعظمی از درمان های انجام شده در مطب ها و کلینیک های دندانپزشکی را تشکیل می دهند و اصطلاحاتی مانند لمینیت، کامپوزیت، بلیچینگ، ونیر و… بسیار محبوب و پرطرفدار شده اند. در این مقاله تصمیم داریم شما را با سه مورد از اصلی ترین درمان های زیبایی آشنا کنیم:
1- لمینیت دندانی Dental laminate
لمینیت در واقع یک پوسته ی نازکی از جنس سرامیک (پرسلن) می باشد که به صورت یک لایه بر روی سطح بیرونی دندان ها قرار گرفته و سطح خارجی دندان ها را می پوشاند. این درمان اغلب برای دندان های قدامی (جلویی) و دندان هایی که در لبخند فرد آشکار هستند، صورت می گیرد. این درمان هم برای دندان های فک بالا و هم فک پایین قابل انجام می باشد. تفاوت لمینیت و روکش دندانی در این است که روکش تمام سطوح دندان را دورتا دور در بر می گیرد اما لمینیت فقط سطح خارجی دندان ها را می پوشاند.

درمان لمینیت برای اصلاح بدرنگی ها، اصلاحات مختصر در فرم دندان ها و یا بی نظمی های مختصر دندانی توصیه می شود. نکته مهم این است که برای بی نظمی های شدید دندان ها به هیچ عنوان لمینیت توصیه نمی شود بلکه این موارد نیاز به درمان ارتودنسی دارند.
این مقاله را نیز حتما بخوانید : بوی بد دندان و راه های رفع آن چیست؟
اگر درمان لمینیت به شکل اصولی انجام شود، دندان ها به صورت بسیار مختصر و فقط در سطح بیرونی دندان (نه دورتادور) تراش داده می شوند که میزان این تراش کمتر از یک میلی متر بوده و در حدی نیست که به دندان آسیب رسانده یا موجب تخریب و حذف مقادیر زیادی از بافت دندان شود. تراش های زیاد و تخریب شدید دندان ها صرفا در حالات درمان های غیر اصولی اتفاق می افتد. (برای مثال انجام لمینیت برای اصلاح بی نظمی های شدید دندانی که نیاز به ارتودنسی دارند).

درمان لمینیت حداقل به دو جلسه زمان نیاز دارد و به صورت تک جلسه ای امکانپذیر نمی باشد. در جلسه اول انتخاب رنگ و تراش دندان ها و سپس قالب گیری انجام می شود. قالب تهیه شده باید برای لابراتوار ارسال شود تا لمینیت ها آماده گردند. در جلسه بعدی لمینیت ها امتحان شده و در صورت عدم وجود ایرادات، همان جلسه چسبانده شده و تحویل داده می شوند.

لمینیت ها در لابراتوار بر روی مدل دندانی ساخته و تهیه می شوند.
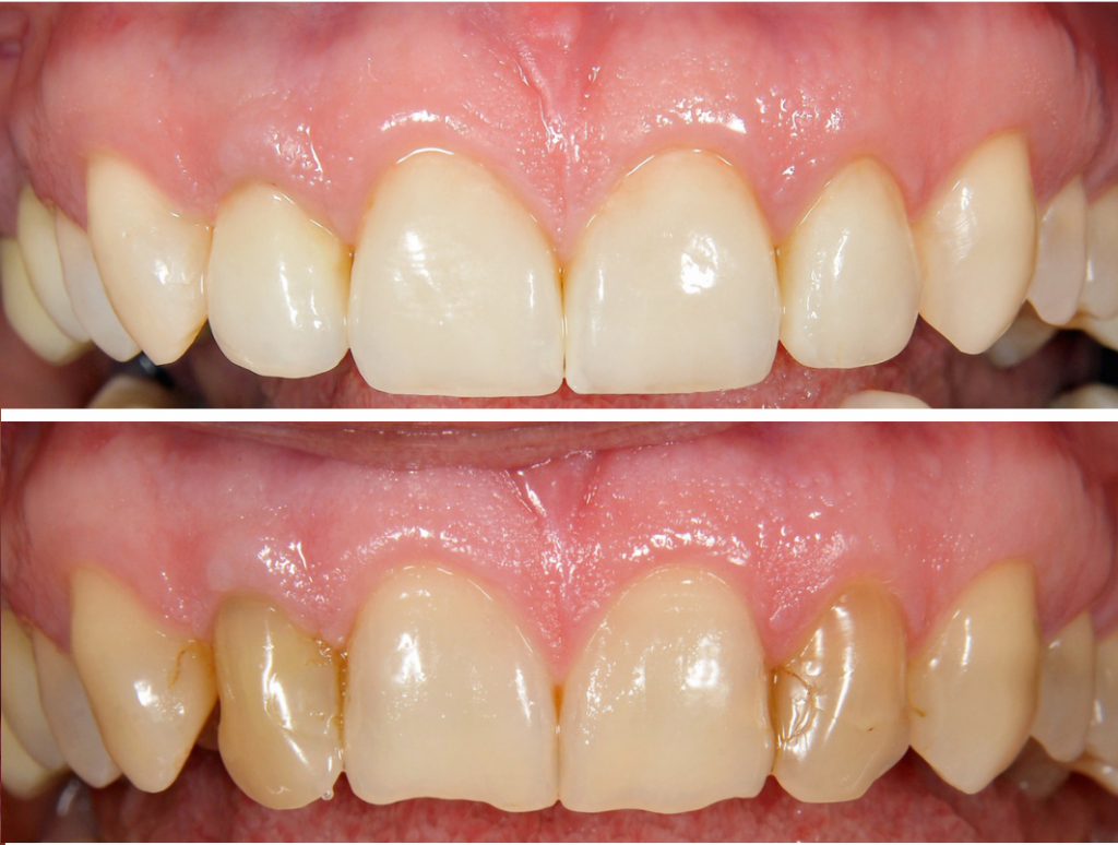
2- ونیر کامپوزیتی Composite veneer
کامپوزیت ونیرها یکی دیگر از درمان های زیبایی هستند که امروزه بسیار رایج و محبوب شده اند. در طی این درمان نیز مشابه با لمینیت دندانی، سطح بیرونی دندان ها جهت رفع بدرنگی یا نواقص مختصر در شکل و فرم آن ها، با یک لایه پوشانده می شود. تفاوت این درمان با لمینیت، در جنس این لایه است که در درمان لمینیت از جنس سرامیک بوده و در لابراتوار ساخته می شود اما در این درمان، از جنس کامپوزیت بوده و توسط خود دندانپزشک در مطب بر روی دندان بیمار شکل داده می شود. کامپوزیت یک ماده ی پرکننده همرنگ دندان می باشد که از آن در سایر ترمیم های دندانی نیز استفاده می شود.

ونیر کامپوزیتی توسط خود دندانپزشک، بر روی دندان شکل داده می شود. (عدم نیاز به لابراتوار)
ونیرهای کامپوزیتی نیز اغلب به تراش مختصر دندان نیاز دارند و به هیچ وجه درمان های اصولی ونیر کامپوزیت، باعث تخریب شدید دندان ها نمی شوند. در پاسخ به این که آیا ونیر کامپوزیت بدون تراش امکانپذیر است یا خیر باید به این نکته اشاره کنیم که میزان تراش کاملا به دندان های هر فرد و زوایای آن ها بستگی دارد، برای مثال در فردی که دندان ها مقداری به سمت عقب متمایل و تو رفته هستند، احتمالا نیاز به تراش چندانی نخواهد بود.

تشخیص این که درمان لمینیت برای دندان های شما بهتر است یا ونیر کامپوزیتی، تا حدودی بسته به سلیقه شما و همچنین شرایط دندانی شما دارد که باید توسط دندانپزشکتان مورد معاینه قرار بگیرید. اما در حالت کلی می توان از مزایای کامپوزیت ها به هزینه کمتر، تعداد جلسات مورد نیاز کمتر و ترمیم راحت تر در صورت لب پر شدن اشاره کرد. در مقابل لمینیت ها هزینه و تعداد جلسات بیشتری نیاز دارند اما مقاومت بالاتر و عدم رنگ پذیری به مرور زمان، از نقاط قوت آن ها می باشد.
این مقاله را نیز حتما بخوانید : انواع روکش های دندانی و نحوه مراقبت و طول عمر آنها
3- بلیچینگ Bleaching یا همان سفید کردن دندان ها
در این درمان، برخلاف دو مورد قبلی، نه لایه ای به دندان اضافه شده و نه دندان تراش داده می شود بلکه در طی درمان بلیچینگ فقط رنگ دندان ها روشن تر می شود و فرم و شکل دندان ها هیچ تغییری نمی کنند. در واقع بلیچینگ زمانی درمان مناسب شماست که از شکل، ظاهر و زوایای دندان های خود راضی باشید و فقط بخواهید رنگ دندان هایتان چند درجه روشن تر و سفیدتر شود.

در طی این درمان، به کمک ماده ی بلیچینگ (که بسته به نوع آن، گاها برای فعال شدن نیاز به نور دستگاه دارد و گاها بدون دستگاه عمل می کند) رنگ دندان ها در طی یک جلسه یا بیشتر (بسته به رنگ دندان ها و میزان تغییر رنگ مورد نظر) روشن تر می گردد.

انجام ونیر کامپوزیت و بلیچینگ دندان در تبریز
کلیه خدمات دندانپزشکی زیبایی در تبریز اعم از لمینت سرامیکی تبریز، ونیر کامپوزیت تبریز و بلچینگ در تبریز یا همان سفید کردن دندان ها توسط دکتر نگین واعظی انجام می شود. برای مشاوره ونیر کامپوزیت در تبریز می توانید به مطب دکتر نگین واعظی مراجعه نمایید.

بدون دیدگاه