در این نمونه کارهای دندانپزشکی ترمیمی، ترمیم یک یا دو دندان جلو با کامپوزیت در تبریز را مشاهده می کنید. که چگونه پوسیدگی های سطحی، شکستگی های جزئی و لب پریدگی دندان های قدامی با استفاده از کامپوزیت بازسازی شده‌اند. این درمان ها بیشتر جنبه ترمیمی دارند و به‌جای اصلاح کامل طرح لبخند، بر حفظ سلامت و بازگرداندن ظاهر طبیعی دندان تمرکز می‌کنند.البته مشخص است که تا حدودی بر روی زیبایی نیز تاثیر گذار بوده اند.

ترمیم دندان جلو برای بیماران، به‌ویژه نوجوانان و جوانان، اهمیت زیادی دارد زیرا حتی یک دندان آسیب‌دیده می‌تواند زیبایی لبخند و اعتماد به نفس فرد را تحت‌تأثیر قرار دهد. این موارد در مطب دندانپزشکی دکتر نگین واعظی در تبریز انجام شده است. در ادامه می توانید تصاویر قبل و بعد و جزییات هر درمان را مشاهده کنید.

ترمیم دندان های جلو در تبریز

دندان ها و لبخند شما یکی از مهم ترین اجزای صورت شما هستند و طبق تحقیقات، یک لبخند زیبا و دلنشین، دومین فاکتور زیبایی چهره شما (اولین فاکتور چشم) می باشد. از این رو لبخندی سالم و دارای هماهنگی، دندان هایی صاف، مرتب، یکدست و درخشان برای هر فردی خواستنی و جذاب است که زیبایی بی نظیری به چهره او می بخشد. آیا شما نیز خواستار چنین دندان هایی هستید؟ اگر شما هم تمایل برای داشتن دندان ها و لبخندی زیبا دارید اما نمی دانید که چه درمانی را انتخاب کنید، بهترین راه، مراجعه به یک دندانپزشک خوب در تبریز است، تا با بررسی وضعیت دهان و دندان های شما و ارزیابی نقص دندان ها، مناسب ترین و بهترین روش درمانی را برای شما پیشنهاد کند.

در اینجا تعدادی از درمان های زیبایی انجام شده توسط دکتر نگین واعظی جراح و دندانپزشک در تبریز را برای شما عزیزان قرار داده ایم. 

1- انجام سه واحد ونیر کامپوزیتی (رنگ به انتخاب خود بیمار و هماهنگ با سایر دندان ها)

دندانپزشک ترمیمی و زیبایی در خوی دکتر نگین واعظی متخصص دندانپزشکی زیبایی در خوی بعد از درمان ترمیم
دندانپزشکی زیبایی در خوی بهترین دندانپزشک در خوی دندانپزشک خانم در خوی دندانپزشک خوب زیبایی در خوی زیبا کردن دندان ها در خوی قبل از درمان ترمیم

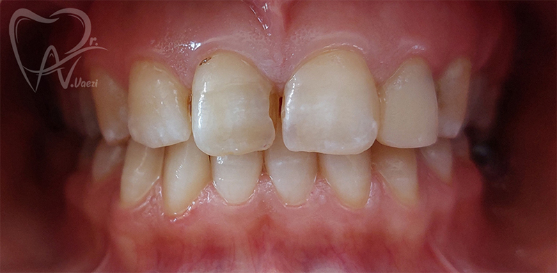
2. انجام دو واحد ونیر کامپوزیتی به رنگ طبیعی و بستن دیاستم (فاصله بین دندان ها)

دندانپزشکی طرح لبخند در خوی و تبریز توسط دکتر نگین واعظی جراح و دندانپزشک زن در خوی و تبریز بعد از درمان زیبایی
Dds n vaezi 2 z befor قبل از درمان زیبایی

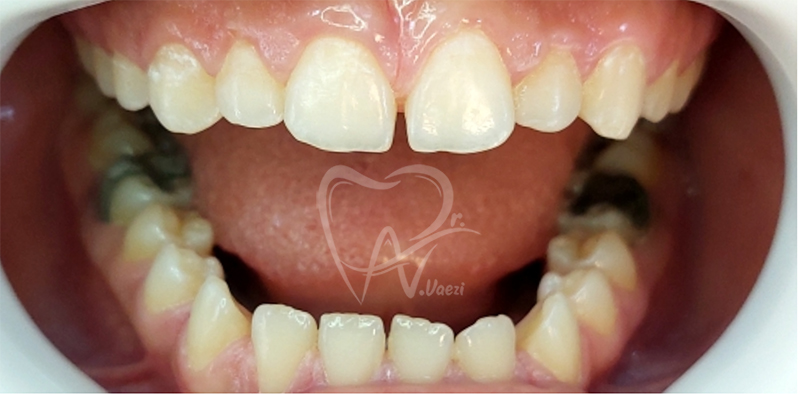
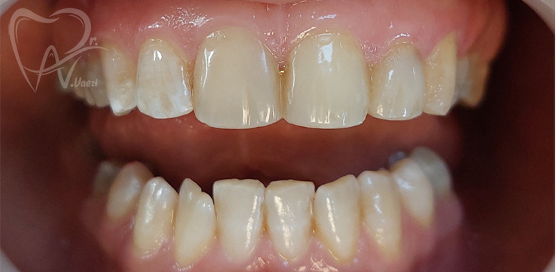
3. ترمیم شکستگی تاج و حذف بدرنگی در دندان های سنترال

Dds negin vazei khoy tabriz z 03 after بعد از ترمیم
Dds negin vazei khoy tabriz z 03 befor قبل از ترمیم

4- انجام دو واحد ونیر کامپوزیتی به رنگ طبیعی برای اصلاح فرم و رنگ دندان ها و بستن فاصله

دندانپزشکی زیبایی و طرح لبخند در خوی دکتر نگین واعظی بعد از ترمیم
انجام دو واحد ونیر کامپوزیتی به رنگ طبیعی برای اصلاح فرم و رنگ دندان ها و بستن فاصله قبل از ترمیم

💰اگر می خواهید در مورد هزینه ترمیم کامپوزیت دندان در تبریز بدانید حتما مقاله هزینه ترمیم کامپوزیت دندان در تبریز را بخوانید.

سوالات متداول

چه مشکلاتی با ترمیم دندان جلو برطرف می‌شود؟

پوسیدگی‌های کوچک، شکستگی‌های سطحی، لب‌پریدگی و تغییر رنگ‌های موضعی.

بله، حتی اصلاح یک دندان شکسته یا پوسیده جلو، به شکل محسوسی در زیبایی لبخند تأثیر دارد.

ترمیم دندان جلو با کامپوزیت بین 5 تا 7 سال دوام دارد که با رعایت بهداشت دهان و دندان می توانید آن را افزایش داد.

بسته به تعداد دندان، میزان آسیب و پوسیدگی (سطح پوسیدگی) و مواد مصرفی، هزینه متفاوت است و پس از معاینه مشخص خواهد شد.

دکتر نگین واعظی با ترجبه بالا و انجام موارد بسیار متعدد ترمیم دندان های جلو در تبریز، دقت و ظرافت و کیفیت مواد مصرفیف نوبت دهی سریع و محیط استریل و بهداشتی می تواند گزینه مناسبی برای ترمیم دندان های جلو با کامپوزیت در تبریز باشند. ضمنا روکش های دندانی ، لمینیت، ایمپلنت و سایر خدمات درمانی را نیز می توانید در مطب ایشان دریافت کنید

دندانپزشکی ترمیمی در تبریز

شما می توانید با مراجعه به دکتر نگین واعظی جراح و دندانپزشک در تبریز، یک معاینه و مشاوره در مورد دندان ها و بهترین روش برای اصلاح لبخندتان دریافت کنید و نیز پاسخ سوالات خود را در رابطه با درمان های زیبایی بسته به شرایط دندانی خود بگیرید.قیمت دندانپزشکی زیبایی و قیمت اصلاح طرح لبخند در تبریز نیز پس از معاینه دقیق و بررسی دندان های شما امان پذیر می باشد.

📞 برای نوبت دهی سریع دندانپزشکی در تبریز همین حالا با ما تماس بگیرید.

 آدرس مطب دندانپزشکی دکتر نگین واعظی:

📍تبریز، ولیعصر، چهار راه شریعتی، جنب بانک سپه، ساختمان آناهیتا، طبقه 3 واحد 7

اطلاعات تماس:

📞 تلفن تماس مطب : 33316412-041

📲 واتساپ/تلگرام/روبیکا  :  [09149617890]

پیج اینستاگرام

مشاهده پیج

بدون دیدگاه

دیدگاهتان را بنویسید

نشانی ایمیل شما منتشر نخواهد شد. بخش‌های موردنیاز علامت‌گذاری شده‌اند *