عکس قبل و بعد جرم گیری دندان و مشاهده تاثیر جرم گیری و برساژ دندان در سلامت و زیبایی ظاهری اونها می تونه به ما برای انجام این درمان پیشگیرانه انگیزه بده. از طرفی مشاهده این حجم از جرم دندان، شاید تلنگری برای رعایت بهتر و بیشتر دندان هایمان باشد.
جرم گیری و برساژ دندان در تبریز یکی از مؤثرترین روشها برای بازگرداندن سلامت و شادابی لثه ها و بهبود ظاهر لبخند است. در این 3 مورد نمونه کار جرم گیری انجام شده در مطب دکتر نگین واعظی در تبریز، میبینید که چگونه تجمع جرم و پلاک روی دندانها باعث تغییر رنگ و التهاب لثه شده بود و پس از انجام جرمگیری و برساژ، دندانها ظاهری تمیزتر و درخشانتر پیدا کردهاند. این درمان علاوه بر زیبایی، نقش مهمی در پیشگیری از بیماریهای لثه و بوی بد دهان دارد. در ادامه تصاویر و عکس های قبل و بعد هر درمان را می توانید مشاهده کنید.
جرم گیری دندان
جرم گیری دندان به انگلیسی tooth scaling and root planning شناخته می شود.به طور طبیعی و در اثر خوردن و آشامیدن، روی دندان های همه ما یک لایه خمیری، نازک و شیری رنگ تشکیل می شود که بیوفیلم یا پلاک میکروبی نام دارد. این لایه حاوی باکتری هایی می باشد که مسئول ایجاد پوسیدگی دندانی هستند.
جرم گیری دندانی یا اسکیلینگ (Scaling) یکی از درمان های دندانپزشکی است که باید در مطب و توسط دندانپزشک صورت بگیرد. در اینجا تعدادی از نمونه کارهای جرم گیری دندان انجام شده توسط دکتر نگین واعظی جراح دندانپزشک در تبریز ارائه می شود.
این نمونه کار را نیز ببینید : نمونه کار های دندانپزشکی ترمیمی دکتر نگین واعظی
عکس های قبل و بعد جرم گیری و برساژ دندان تبریز
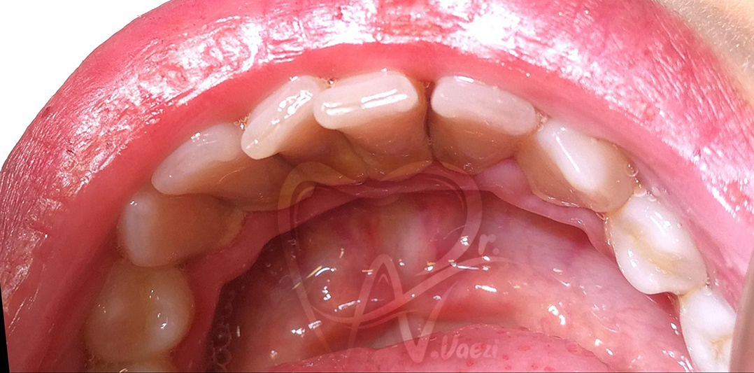
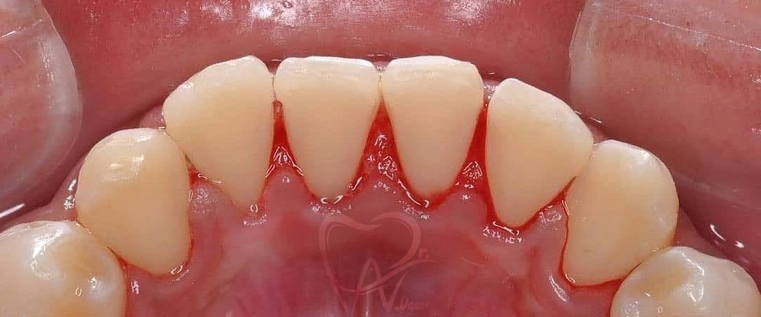
1- حذف جرم های سنگین دندانی با جرم گیری و برساژ
بعد از جرم گیری
قبل از جرم گیری
2- جرم گیری فک پایین
بعد از جرم گیری
قبل از جرم گیری
3- جرم گیری و برساژ دندان های فک پایین
بعد از جرم گیری
قبل از جرم گیری
💰اگر می خواهید در مورد هزینه جرم گیری دندان در تبریز بدانید حتما مقاله قیمت جرم گیری دندان در تبریز را بخوانید.
سوالات متداول
آیا جرمگیری باعث آسیب به مینای دندان میشود؟
خیر، اگر جرم گیری توسط دندانپزشک و با دستگاههای استاندارد انجام شود، به مینای دندان آسیبی وارد نمیکند.
تفاوت جرمگیری و برساژ چیست؟
جرمگیری برای حذف رسوبات سخت و پلاکهای چسبیده به دندان انجام میشود و برساژ مرحلهای تکمیلی است که سطح دندانها را صیقل میدهد و مانع تجمع مجدد پلاک میشود.
هر چند وقت یکبار باید جرمگیری انجام داد؟
بسته به وضعیت بهداشت دهان و دندان، معمولاً هر 6 تا 12 ماه یکبار توصیه میشود.
مطب خوب برای جرم گیری دندان در تبریز کدام است؟
مطب دکتر نگین واعظی جرم گیری دندان را با نوبت دهی سریع و در محیطی کاملا بهداشتی و استریل با بهترین قیمت ارائه می دهد.
جرم گیری دندان در تبریز
جرم گیری دندان یکی از خدمات ارائه شده توسط دکتر نگین واعظی جراح و دندانپزشک در تبریز می باشد. جهت مشاوره می توانید به کلینیک مراجعه و از شرایط جرم گیری و برساژ دندان های خود آگاه شوید. برای آگاهی از قیمت جرم گیری دندان در تبریز می توانید به آدرس کلینیک مراجعه نمایید.با جرم گیری و برساژ دندان ها علاوه بر رفع مشکلات بهداشتی آن ، زیبایی دندان های خود را دو چندان کنید.
📞 برای نوبت دهی سریع دندانپزشکی در تبریز همین حالا با ما تماس بگیرید.
آدرس مطب دندانپزشکی دکتر نگین واعظی:
📍تبریز، ولیعصر، چهار راه شریعتی، جنب بانک سپه، ساختمان آناهیتا، طبقه 3 واحد 7

بدون دیدگاه