در این نمونه کار دندانپزشکی ترمیم کامپوزیت ۴ دندان جلو بیمار نوجوان در تبریز مشاهده می کنیم که چگونه دندانهای دچار لب پریدگی (البته جزیی) و تغییر رنگ با استفاده از مواد کامپوزیتی همرنگ دندان بازسازی شدهاند. این روش علاوه بر زیبایی فوری، به دلیل غیر تهاجمی بودن و حفظ بافت سالم دندان، برای نوجوانان گزینهای ایدهآل به شمار میرود. البته به شرطی که قبل از تشدید شرایط اقدام شود. این درمان توسط دکتر نگین واعظی دندانپزشک ترمیمی و زیبایی در مطب دندانپزشکی ولیعصر تبریز با دقت بالا انجام شده و نتیجه نهایی لبخندی طبیعی، متناسب و درخشان برای بیمار بوده است.در ادامه جزییات و تصاویر قبل و بعد ترمیم رو مشاهده می کنید.
💰اگر می خواهید در مورد هزینه ونیر کامپوزیت دندان جلو (زیبایی) در تبریز بدانید حتما مقاله قیمت کامپوزیت دندان جلو در تبریز را بخوانید.
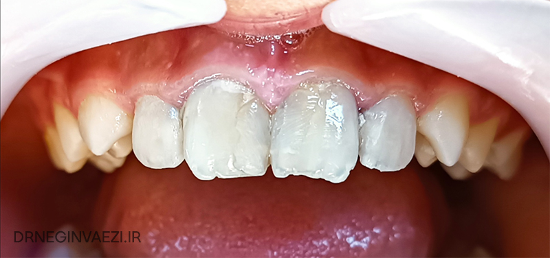
جزییات این نمونه کار ترمیم کامپوزیت دندان جلو در تبریز
بیمار نوجوان با شرایطی که در تصویر زیر ملاحظه می کنید به کلینیک مراجعه نمودند که ضمن مشاوره رایگان ، ترمیم کامپوزیت 4 دندان جلو برای ایشان انجام شده است که تصویر اتمام کار را نیز در ذیل می توانید ملاحظه بفرمائید.شما نیز جهت مشاوره برای خدمات دندانپزشکی اعم از درمان ریشه ، ترمیم ،ایمپلنت ، طراحی لبخند، لمینیت یا ونیر کامپوزیتی، جرم گیری و بلیچینگ ، جراحی و … می توانید به آدرس کلینیک مراجعه نمایید.
این نمونه کار را نیز ببینید : نمونه کار های دندانپزشکی ترمیمی دکتر نگین واعظی
بعد از ترمیم کامپوزیت
قبل از ترمیم کامپوزیت
💰اگر می خواهید در مورد هزینه ترمیم کامپوزیت دندان در تبریز بدانید حتما مقاله هزینه ترمیم کامپوزیت دندان در تبریز را بخوانید.
قبل و بعد در یک نگاه
دندانپزشکی ترمیمی در تبریز
دندانپزشکی ترمیمی یکی از خدمات ارائه شده توسط دکتر نگین واعظی جراح و دندانپزشک می باشد. جهت مشاوره می توانید به کلینیک مراجعه نمایید. برای آگاهی از قیمت ترمیم کامپوزیت دندان ، ونیر ، درمان ریشه ، بلیچینگ و … در تبریز می توانید به آدرس کلینیک مراجعه نمایید.دندانپزشکی ترمیمی کودکان و نوجوانان یکی دیگر از خدمات ارائه شده در کلینیک می باشد.
برای مشاهده سایر نمونه کارها می توانید پیج اینستاگرام دکتر نگین واعظی را دنبال کنید:
📞 برای نوبت دهی سریع دندانپزشکی در تبریز همین حالا با ما تماس بگیرید.

بدون دیدگاه